ÿ������7:30���ҹǿ����Ķ������F(xi��n)һ���������b�I(l��ng)���ߴ����Ď�����Ӱ�������Ǻ�����A���t(y��)Ժ�ǿ����ė�Ÿ������t(y��)�����л��߷Q���ǡ��������Č����t(y��)�������J(r��n)�R���r(sh��)�gԽ�L����������Ϥ�Ļ����f�����ǂ������g(sh��)һ���Č��ҡ����������ĵĺ��t(y��)���������B(t��i)���e�õĺ��ˡ��������ԼҺ���߀���ĵĴ��......���������ǿ���������һ����Ľ�������Ļ��ߣ���Ժ�r(sh��)����߀���ڿ��������f���ǿ��@λ�������t(y��)�g(sh��)�����߳������Ҵ��������H����

�������t(y��) �̿��@��
��������?y��n)�һ�䡰����������������t(y��)�������L݅Ӱ푣�����־�W(xu��)�t(y��)���߿����(b��o)־Ը������qԥ���x�����t(y��)�W(xu��)���I(y��)��1994���ԃ�(y��u)���ijɿ�����ɽ�|�t(y��)�ƴ�W(xu��)�R���t(y��)�W(xu��)���I(y��)��1999���W(xu��)���I(y��)������܊�������M(j��n)���侯�������(du��)�ڶ��t(y��)Ժ�������eˮ̶�t(y��)Ժ(li��n)�ϲ��^(q��)����2002-2003����S������������ï�����ڌW(xu��)��(x��)��(chu��ng)���ǿ���2003�������D(zhu��n)�I(y��)��ɽ�|�ϼҵ���Դ�h���t(y��)Ժ���������������t(y��)Ժ�����¹ǿ��R��һ��������
2011�꣬��ű��x�ɵ������eˮ̶�t(y��)Ժ�M(j��n)���������T�A�����������r���ڡ���ѩ�ɽ��ڌW(xu��)��(x��)�\(y��n)���t(y��)�W(xu��)������B�����������eˮ̶�t(y��)Ժ�ǿ�����ȫ��피�Č��I(y��)�������ڽ̌W(xu��)���R�������еȷ������γ���һ�ƌW(xu��)���������wϵ����

�ڱ����eˮ̶�t(y��)Ժ�M(j��n)�����g�������S��λ��(d��o)���W(xu��)��(x��)�\(y��n)���t(y��)�W(xu��)���������ߵĿ������ȫ�ľ��Σ���(sh��)�F(xi��n)�������ġ��Gɫͨ���������@�Ƕ��W(xu��)�ƅf(xi��)���ĵ䷶��Ҳ���t(y��)Ժ���w��(sh��)�����w�F(xi��n)����
ͨ�^�eˮ̶�W(xu��)��(x��)�Ľ�(j��ng)�v���Ҹ��������������_��Ŀ��(bi��o)�������eˮ̶�t(y��)Ժ��ԺӖ(x��n)�������\����ˇ�����ģ��Ҍ��ӛ���������Դ˱��Լ������M(j��n)�������Լ����W(xu��)�õ���V���ߵķ���(w��)֮������������Έ�(ji��n)�����f��
2013���ֽӵ���������W(xu��)�����t(y��)Ժ���M(j��n)���P(gu��n)��(ji��)�R���g(sh��)֪ͨ�����Ĵއ��c���ڌW(xu��)��(x��)���P(gu��n)��(ji��)�R��̖�Q���Ї��S�Ҽ������ڶ��ڌW(xu��)�T�����҇��P(gu��n)��(ji��)�R֪���������ؽ����H�Ԏ�����
������W(xu��)�M(j��n)�ތW(xu��)��(x��)���g����������H���w������У�ČW(xu��)�g(sh��)�Շ��������ˡ��ڊ^����(y��n)֔(j��n)����(sh��)����(chu��ng)�¡��ı��������������x�� �˱���피����ҵ�ՁՁ�̌�(d��o)��
�t(y��)������ ���߮�(d��ng)��
����(d��ng)һ�����t(y��)�����κ�ÿһλ���ѡ�����������@���f����Ҳ���@������������؟(z��)���������������Č���ÿ��������Ŭ�����ӻ��ߵ����ζ�����ȫ�к����õľ��t(y��)�w�(y��n)��
2022�꣬��ż������A���t(y��)Ժ�@�����ͥ�����e�Oץ�ùǿ������t(y��)���|(zh��)���c��ȫ�������R�����̹�������ÿһ�(xi��ng)�¼��g(sh��)���_չ�����y�����g(sh��)�Č�(sh��)ʩ�����M���t(y��)�o(h��)�ˆT�M(j��n)���J(r��n)��̽ӑ��������c(di��n)���y�c(di��n)���}��ͬ�r(sh��)������(d��o)�t(y��)�o(h��)�ˆT�S�r(sh��)�˽��t(y��)�W(xu��)�ӑB(t��i)���o���W(xu��)�ưl(f��)չǰ����

��(j��)�˽�������A���t(y��)Ժ�ǿ�������Ҫ�ί��ǿƳ�Ҋ������l(f��)�������y���Լ����N���g(sh��)���l(f��)�Y���@Ҳ���Ǘ���������L���I(l��ng)�����L�ڏ��¹ǿ��R�������������������֫�P(gu��n)��(ji��)���ۡ��P(gu��n)��(ji��)�ÓQ���\(y��n)�ӓp�����\�����e���������y�����۵��ί�����e���˴����Ľ�(j��ng)�(y��n)��
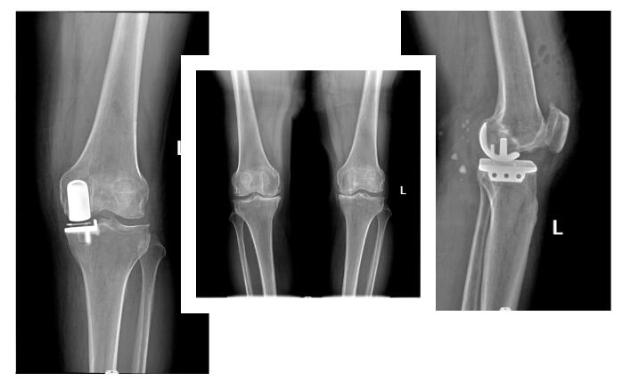
����5�����ǿƽ��\��һ��96�q���g�y�����ۻ�������(j��)�˽⣬�����ڼҲ�С�Ļ��������F(xi��n)���y����ʹ������֫�̿s����?y��n)��½o��Ů���韩�������ڼ���Ϣ���S�������L���P�����β����F(xi��n)����e�쯏����ʹ������ݚ�D(zhu��n)����t(y��)Ժ�������R���g(sh��)�L(f��ng)�U(xi��n)���ί��y�ȴ����ί��o������K��ͬС�^(q��)���ӽ��h������ŮĽ����������A���t(y��)Ժ�ǿ������ҵ�������ξ��\��ͨ�^Ӱ��z�����Y(ji��)���@ʾ�����҂�(c��)�ɹ��i��������Ԕ��(x��)���w�˽��������w��r������ν��h�����_չ���҂�(c��)�˹��ɹ��^�ÓQ�g(sh��)��Super CAP������

Super CAP�^���y(t��ng)�˹��ɹ��^�ÓQ��·�ă�(y��u)�c(di��n)����1���п�С: �п��L�ȼs6 cm�����y(t��ng)���(c��)��·��15cm�������g(sh��)��(chu��ng)���^������2���g(sh��)���@¶����������g(sh��)�г�Ѫ�^�٣�50ml���o���ù����������y(t��ng)��·�g(sh��)�м��g(sh��)���Ѫ700-1000ml������3���g(sh��)��֏�(f��)�����g(sh��)��(d��ng)������6С�r(sh��)���´������5-7��ɳ�Ժ�����ڿs�����P����סԺ�r(sh��)�g������������o(h��)���ɱ��ͻ��ߵĽ�(j��ng)��(j��)ؓ(f��)��(d��n)����4���g(sh��)���˹��P(gu��n)��(ji��)����Óλ�����y(t��ng)��·�O���װl(f��)���P(gu��n)��(ji��)Óλ����

�������������Ѹ���߀����������Ѫ������֫���o�}Ѫ˨�ȼ��������g(sh��)�������L(f��ng)�U(xi��n)�O��������������g(sh��)�������L���P�������������쯏�����l(f��)��N���l(f��)�Y���������{������

��(j��ng)�^����(f��)���]��������߀�ǛQ������t(y��)��������g(sh��)��������Ύ��I(l��ng)�ǿƈF(tu��n)�(du��)���������������g(sh��)�����ذY�t(y��)�W(xu��)�����ă�(n��i)����������(n��i)���ڿƵȶ��W(xu��)�ƈF(tu��n)�(du��)�Ĺ�ͬ�f(xi��)�������ɹ��؞����ˌ�(sh��)ʩ���҂�(c��)�˹��ɹ��^�ÓQ�g(sh��)��Super Cap�������g(sh��)�ڶ���������ʹ���������´�����������g(sh��)��7�쿵��(f��)��Ժ��2���µĻ��L���҂���֪�����ˬF(xi��n)���ѽ�(j��ng)�܉�Ó�x���������ɻ������
����6�·ݣ�����������M(j��n)�������y�����ۻ��߿��ٿ���(f��)������ͬ�r(sh��)�����g(sh��)�ҡ������Ƽ����P(gu��n)��(n��i)�����o�����ҷe�O������������\��Ժ�����F(tu��n)�(du��)���������u�������r(sh��)�_չ���g(sh��)�����g(sh��)�п�С��סԺ�r(sh��)�g���������������껼�ߵ������|(zh��)��������������ѽ�(j��ng)��20����90�q���ϵĸ��g���ߌ�(sh��)ʩ�����g(sh��)�����߾����g(sh��)�������Ժ�����������Ҳ�A���˻����ҌُV��ٝ�u(y��)��

��ÿλ�����g(sh��)ǰ�ęz�鶼�dz���(x��)�����黼�߿��]��Ҳ�dz�ȫ�棬�g(sh��)�������бO(ji��n)�y��ע�ⲡ���׃�������������˺ܺá������@Щ����֮�~�����ǻ����Ҍٵķθ�֮����
�ڗ�����ε��k�������кܶಡ�˼��Ҍ��́����\����һ�����\�첻�H�ǘs�u(y��)�������������t(y��)�����ĵ����Ҋ�C���������f��ÿһ�_���g(sh��)���H����ɹ��������nj����˽��������ؓ(f��)؟(z��)��
����(bi��o)һ�� �I(l��ng)������
�ڗ�����εĎ��I(l��ng)�����ǿƌ��^�m(x��)���(zh��n)�l(f��)չǰ��������͏�(qi��ng)�����P(gu��n)�I(l��ng)��l(f��)չ����������f��������������ٿ���(f��)��ƣ�Enhanced Recovery After Surgery (ERAS)���ѽ�(j��ng)�ɞ��t(y��)�W(xu��)�İl(f��)չڅ�ݡ���Ŀǰ��������ERAS��������I(l��ng)�����_չ�P(gu��n)��(ji��)�R��ϥ�P(gu��n)��(ji��)�ÓQ���y�P(gu��n)��(ji��)�ÓQ����(f��)�s�P(gu��n)��(ji��)�܇����ۃ�(n��i)�̶��g(sh��)���]�Ϗ�(f��)λ��(chu��ng)��(n��i)�̶��g(sh��)����֫��������۵����_��(f��)λ��(n��i)�̶��g(sh��)�ȿ��ٿ���(f��)�����õ��V����(y��ng)�����R����Ч��(y��u)�����γ��r�����\����ɫ��

�����Ҍ�ERAS�������뵽��(chu��ng)���ǿ��I(l��ng)�������_չ��һϵ��ERAS���P(gu��n)�о����R����(y��ng)�����ڿs�����g(sh��)�ڽ�ʳˮ�r(sh��)�g���p�������ܵķ��á��oʹ�]������(f��)�����ٿ���(f��)Ժ����Ϣ�������m(x��)ۙ��סԺ���˵��\���^�̵ȷ����M(j��n)����һϵ�Ѓ�(y��u)�����O��ظ����˻��ߵ��\���w�(y��n)��������f��
���t(y��)23�����������ηe�O̽���̈́�(chu��ng)�£����L�y��ϥ���������P(gu��n)��(ji��)�ÓQ���y��ϥ�P(gu��n)��(ji��)�ÓQ�����g(sh��)������ϥ�������ס��y���P(gu��n)��(ji��)�������P(gu��n)��(ji��)�R��(chu��ng)�ί����_չ�P(gu��n)��(ji��)�R���g(sh��)20�꣬��Ӌ(j��)���g(sh��)�������^3000�����_չ�y��ϥ�����P(gu��n)��(ji��)�ÓQ���g(sh��)10��������Ӌ(j��)���g(sh��)�����_(d��)1000������
�����t(y��)������KĿ�ľ��Ǟ��������߶�����(w��)��������γ����V�ǿ����pһ���t(y��)������·���������h(yu��n)�������t(y��)֮·���L���D�y����Ȼ�x�����t(y��)�W(xu��)������ζ��؟(z��)���c��I(xi��n)��ͬ�r(sh��)���������҂��t(y��)�W(xu��)��·����õČ�(sh��)�`ָ��(d��o)�ώ����҂�Ҫ�����ߑ���һ�w�ж�������Ҫ�ڏ��t(y��)��·�ϑ���һ�w��(ji��n)�����ģ����t(y��)֮·�ŕ������ի@����
















